General Dentistry In Buffalo, NY and Kenmore, NY
General Dentistry
- Tooth Colored Resin Fillings: Crafted from a blend of plastic and glass materials, are aesthetically pleasing dental restorations used to repair cavities and restore damaged teeth, perfectly blending with the natural tooth color.
- Root Canal Therapy: Root canal therapy is a dental procedure that involves removing infected pulp from a tooth, cleaning and disinfecting the area, and then filling and sealing it to prevent further infection.
- Crowns: Dental crowns are protective caps placed over damaged or decayed teeth to restore their shape, size, strength, and improve their appearance.
- Extractions: Dental extractions involve the removal of a tooth from its socket in the jawbone, typically performed due to severe decay, damage, or overcrowding.
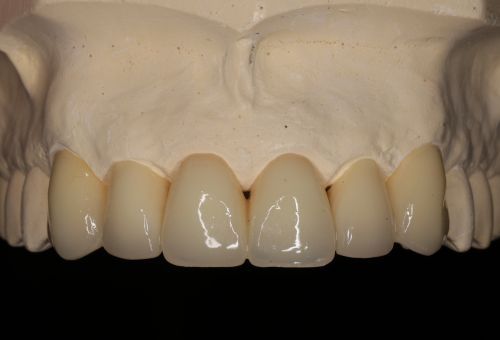
Tooth Colored Resin Fillings
Thanks to recent advances in dental technology, Kenmore Quality Care Dentistry professionals now offer fillings which perfectly match the natural tooth color of most patients. Rest assured that your smile will stay beautiful with the aid of this seamless procedure. Our family dentists can also replace old silver and gold fillings with more natural looking resin fillings.
Tooth-colored resin fillings, also known as composite fillings, offer several advantages over traditional silver amalgam fillings. Here are some key points to consider:
- Natural Appearance: They blend in with your natural teeth, providing a seamless and natural-looking restoration.
- Preservation of Tooth Structure: Less healthy tooth structure needs to be removed compared to amalgam fillings.
- Bonding Strength: They are securely bonded to the tooth, reinforcing its structure.
- Reduced Sensitivity: They insulate the tooth, reducing sensitivity to temperature changes.
- Quick and Convenient: Placement is a straightforward process that can be done in one visit.
- Longevity: They are durable and can last for many years with proper care.
- Repairable: They can be easily repaired or replaced if necessary.
- Mercury-Free: They do not contain mercury, addressing concerns about potential health effects.
- Allergy Considerations: They are hypoallergenic and suitable for patients with metal allergies.
Root Canal Therapy
The root canal is generally defined as the soft, nerve-filled tissue located within each individual tooth. If your tooth routinely exhibits shooting pain, there’s a chance that root canal therapy may be required to repair the damage. For this reason, it’s important to consult with Kenmore Quality Care Dentistry professionals if your pain levels have started to swell. Nip the problem in the bud with our assistance, and eliminated any chance of infection.
Root Canal Therapy: Restoring Dental Health
- Understanding Root Canal Therapy: Root canal therapy treats infected or damaged tooth pulp to alleviate pain and prevent further dental problems.
- Signs and Symptoms: Common signs include persistent tooth pain, sensitivity to temperature, swelling, and gum issues.
- The Procedure: Steps involve anesthesia, accessing and cleaning the infected pulp, filling and sealing the canals, and restoring the tooth.
- Pain Management: Local anesthesia ensures minimal discomfort during the procedure, with mild soreness afterward.
- Preserving Natural Teeth: Root canal therapy saves natural teeth, maintaining chewing function and preventing shifting.
- Success Rate: Root canals have a high success rate, with proper care and hygiene.
- Follow-up Care: Your dentist will schedule a follow-up appointment to monitor healing and may recommend a dental crown.
- Alternative Treatment Options: Extraction may be considered in specific cases, but preserving natural teeth is typically preferred.
- Addressing Dental Anxiety: Sedation dentistry options are available to help anxious patients relax during the procedure.
- Preventive Measures: Good oral hygiene and regular dental check-ups can help prevent the need for root canal therapy.
Schedule a Free, No Obligation Consultation
At Kenmore Quality Care Dentistry, our consultations are always free, giving you a chance to tour our office, meet our
team, and discuss any concerns you may have.
Crowns
A crown is often required when a tooth has suffered too much damage over time. Tooth crowns are generally composed of porcelain or gold, and provide a tight seal against any further decay. Kenmore Quality Care Dentistry now offers the service of CEREC physicians that can administer full crown treatments in a brief 90 minute session. We’ve managed to eliminate the need for any repeat visits!
Dental crowns protect and strengthen damaged teeth, providing both aesthetic and functional benefits. Key points about dental crowns include:
- Purpose and Benefits: Dental crowns restore tooth appearance, size, and strength, improving chewing and speaking abilities.
- Material Options: Crowns are made from various materials, chosen based on individual needs.
- Procedure Overview: Tooth preparation, impression, temporary crown placement, and bonding of the permanent crown.
- Longevity and Durability: With proper care, crowns can last long. Regular oral hygiene and check-ups are essential.
- Natural Appearance: Dental crowns are customized to blend seamlessly with natural teeth.
- Functionality and Comfort: Crowns restore biting, chewing, and speaking abilities, providing stability and strength.
- Care and Maintenance: Regular oral hygiene practices and routine check-ups help maintain crown integrity.
- Versatility: Crowns address various dental issues and can support dental bridges
Extractions
If one of your teeth has experienced significant trauma or damage over time, the best course of action often comes in the form of tooth extraction. Once the infected tooth is safely removed from your mouth, we can then develop a plan to remedy the look and feel of the affected area. Our team of dental professionals is prepared to give your smile a complete overhaul today; you just say the word!
Reasons for Extraction
Procedure Overview
Extraction involves numbing the area, loosening the tooth, and removing it. Surgical extraction may be needed for impacted or broken teeth.
Types of Extractions
Simple extractions involve removing a visible tooth, while surgical extractions involve removing impacted or broken teeth that may require incisions or bone removal.
Aftercare
Following extraction, it’s important to follow the dentist’s aftercare instructions, such as taking prescribed medications, avoiding strenuous activities, and maintaining oral hygiene practices.
Tooth Replacement Options
Depending on the location and function of the extracted tooth, your dentist may recommend tooth replacement options, such as dental implants, bridges, or dentures.
Potential Discomfort
While the extraction procedure itself is typically painless due to anesthesia, some discomfort or swelling may occur afterward. Your dentist may prescribe pain medications or suggest home remedies to manage any discomfort.
Precautions and Risks
Dental extraction is generally safe, but there may be risks such as bleeding, infection, or damage to adjacent teeth or tissues. Your dentist will discuss any potential risks with you before the procedure.
Oral Health Impact
Dental extractions can alleviate pain, prevent the spread of infection, improve overall oral health, and create space for proper tooth alignment.
Complete Care for Your Family
You can rest assured that your smile and those of your loved ones are in the very best of hands at Kenmore Quality Care Dentistry. As your dentist in Buffalo, NY and Kenmore we maintain an unwavering commitment to excellence, providing skilled, state-of-the-art treatment to achieve exceptional results of care.