The Leading Dentist
In Buffalo, NY and Kenmore, NY
Kenmore Quality Care Dentistry specializes in general dentistry, dental implant restoration, oral surgery, orthodontics, and cosmetic treatments, all designed to help you achieve the smile of your dreams.
Kenmore Quality Care Dentistry is currently accepting new patients
Unlock Your Ideal Smile!
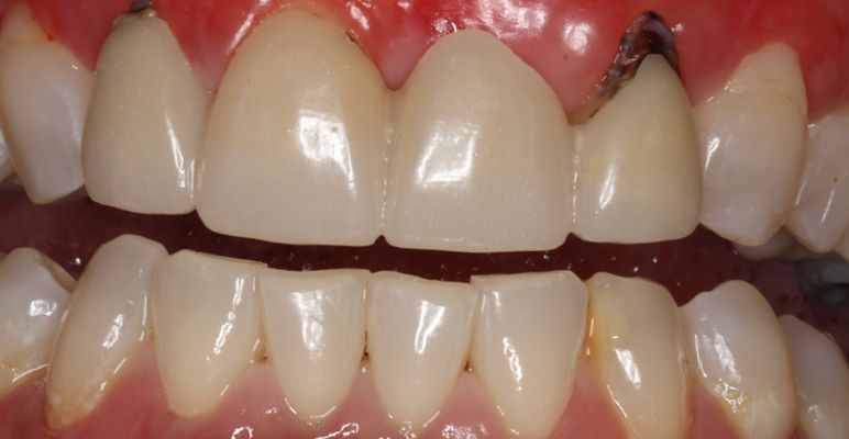
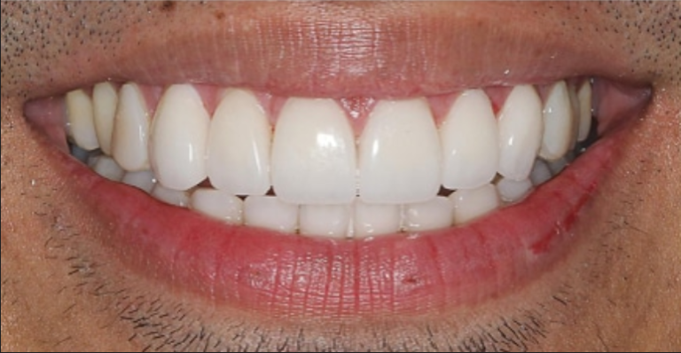
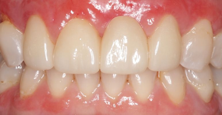
See Our Transformed Smiles
Choosing the right dental implant solution can be a truly life-changing moment. When you see your new smile, you’ll feel on top of the world. Check out some example patient photos below to see what a difference we can make.
Patient Focused
At Kenmore Quality Care Dentistry, every aspect of our practice is designed around you, ensuring that each visit is met with personalized attention, compassionate support, and top-quality treatments to help you achieve your healthiest, brightest smile.
Kenmore Quality Care Dentistry
Comprehensive Dental Care
Welcome to Kenmore Quality Care Dentistry, proudly serving the Buffalo, NY and Kenmore, NY community. We are dedicated to providing excellent dental care that caters to all your oral health needs.
From dental implant restoration to cosmetic dentistry, our comprehensive range of services ensures you and your family receive the highest standard of care.
Our Services
At Kenmore Quality Care Dentistry, we pride ourselves on delivering high-quality service by focusing on each patient’s unique needs, incorporating the latest dental technology, and ensuring every aspect of treatment is approached with unwavering compassion and attention to detail.
General Dentistry
General dentistry encompasses the use of tooth-colored resin fillings for discreet cavity repairs, root canal therapy to eliminate infection and preserve the tooth, and crowns to protect and restore the function and appearance of damaged teeth—all aiming to maintain optimal oral health and aesthetics.
Emergency Services
Have you been involved in an accident that caused one or several of your teeth to fall out? Are you sitting at your kitchen table with a horrible toothache? If the answer to either of these questions are “yes”, you may be in need of emergency dental care.
Cosmetic Dentistry
Our cosmetic dentists can dramatically change the look and feel of your mouth, improving your smile along the way. Opt for our dental team to perform cosmetic dentistry treatments like teeth whitening or choose a more profound change to your teeth like Veneer. No matter which scenario is required, you’re going to love the look of your new smile!
What to Expect at Kenmore Quality Care Dentistry
Excellence
- Maintain the highest standards of superior care, top-notch equipment, and ethical behaviors.
- Make others say, “WOW!” through our techniques, technology and personal touch.
- Embrace new ways of doing things.
- Replace “I don’t, won’t or can’t” with “I can, will or do”!
Respect
- Appreciate differences and openly discuss ideas and perspectives.
- Use positive words, tone of voice, and body language.
- Take time to support each other personally and professionally.
- Accept re-direction and seek continuous self-improvement.
Compassion
- Create a warm and inviting atmosphere for all.
- Smile and be friendly, courteous, and comforting.
- Celebrate successes.
- Create memorable experiences for others.
- Show commitment to our community by giving of our time, expertise and treasure.
The Smile You've Always Wanted
We can give you the smile you’ve always wanted. With our experienced professionals and state-of-the-art technology, we can give you the smile of your dreams.